Medial Partial Knee Replacement Surgeon
If you’re struggling with persistent knee pain on the inner (medial) side of your knee, a medial partial knee replacement may be the solution to restore your mobility and quality of life, without the need for a total knee replacement. Dr. Prem Ramkumar, orthopedic knee surgeon, focuses on advanced, minimally invasive techniques designed to preserve healthy bone and tissue while addressing the root cause of your pain. Schedule a consultation today to find out if you’re a candidate for a medial partial knee replacement. Dr. Ramkumar is located in Long Beach and serves patients in Los Angeles, Orange County, and surrounding Southern California areas. Contact Dr. Ramkumar’s office today!

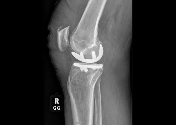
What Is a Medial Partial Knee Replacement?
A medial partial knee replacement focuses on the inner (medial) compartment of the knee, the area most commonly affected by arthritis. Rather than resurfacing the entire joint, the procedure targets only the worn portion while leaving the unaffected structures like the ACL, PCL, MCL, and unaffected bone and cartilage intact. By maintaining the knee’s normal ligaments and healthy areas, this approach can provide more natural movement, a faster recovery, and strong functional outcomes in carefully selected patients. Moreover, minimal balancing is required which generally eliminates the concern for an unstable, loose, or tight knee after surgery.


When Should You Consider a Medial Partial Knee Replacement?
You may be a candidate for a medial partial knee replacement if you have pain primarily on the inside of the knee. Pain of this type can often be associated with bow-leg alignment (varus knee). This condition is typically confirmed through X-rays showing cartilage wear limited to the medial compartment, while the rest of the knee remains relatively healthy. An MRI is not always helpful in determining candidacy as Dr. Ramkumar relies on your exam, carefully inspects your standing x-rays, and leaves the final decision to proceed with a partial to intraoperative inspection of the surrounding knee compartments at the time of surgery.
Although total knee replacements are generally very successful, 15-20% of patients reports dissatisfaction after the procedure.
Why Must Ligaments Be Intact for a Partial Knee Replacement?
An Intact ACL, MCL and PCL are critical for a successful outcome with a Medial Partial Knee Replacement. These structures provide stability and allow the knee to move more naturally after surgery. If the ligaments are not functioning properly, a total knee replacement may be a more appropriate option.
Why Is Medial Partial Knee Replacement the Most Common Type of Partial Knee Replacement?
Medial compartment arthritis is the most common pattern of knee arthritis, which is why medial partial knee replacement is performed more often than lateral or patellofemoral procedures. When patients are carefully selected, this approach offers excellent outcomes and a more natural-feeling knee. However, lateral or patellofemoral partial knee replacements are still a very common aspect of Dr. Ramkumar’s partial knee replacement practice.
What Do Outcomes and Conversion Rates Look Like?
The current data supports that medial partial knee replacements have shown to work exceptionally well for the right patients. Many patients experience long-lasting relief and improved function. In most cases, it continues to perform well over time, and only a small number of patients ever need to convert to a full knee replacement later on. At 10 years after MAKO robotic partial knee replacement, 92% patients were satisfied with the operation.
How Does Robotic Technology Improve Medial Partial Knee Replacement?
Advanced systems like MAKO Robotic-Arm Assisted Surgery enhance surgical precision by allowing for accurate implant placement and alignment, particularly in the medial compartment. This level of accuracy can help improve knee function, alignment, and long-term outcomes.

